Logo

Love your body because you only have one.


Icon

Email

info@drfirashusban.com


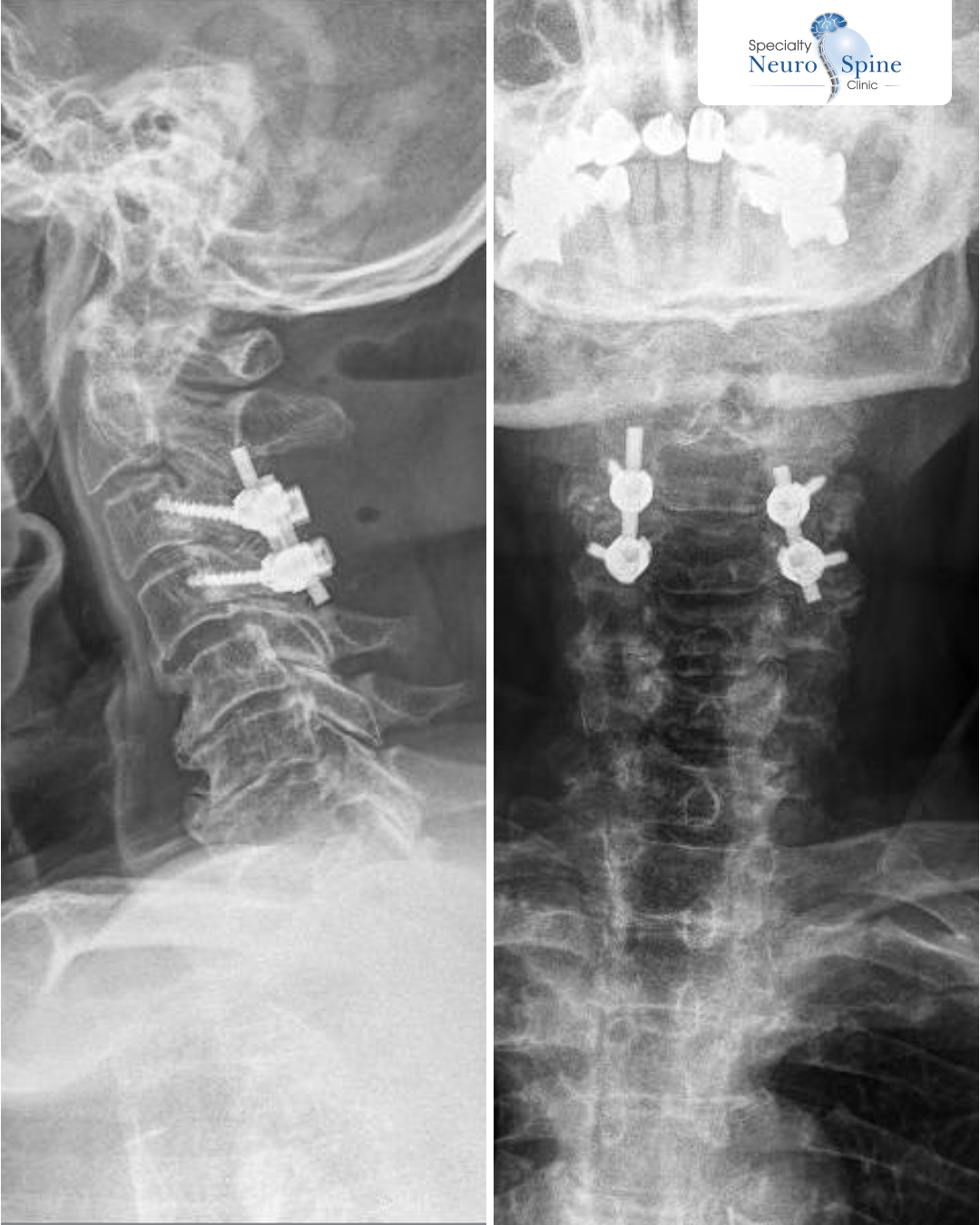
journalist Muneim Fakhouri’s Journey – Minimally Invasive Cervical Spine Fusion Procedure

Muneim’s Journey

We were pleased to welcome our esteemed patient, journalist Muneim Fakhouri, who underwent a minimally invasive cervical spine fusion procedure.

 
 

The patient was suffering from spinal canal stenosis, which led to reduced blood flow and neuropathy, resulting in impaired balance while walking and difficulty controlling limb movements.