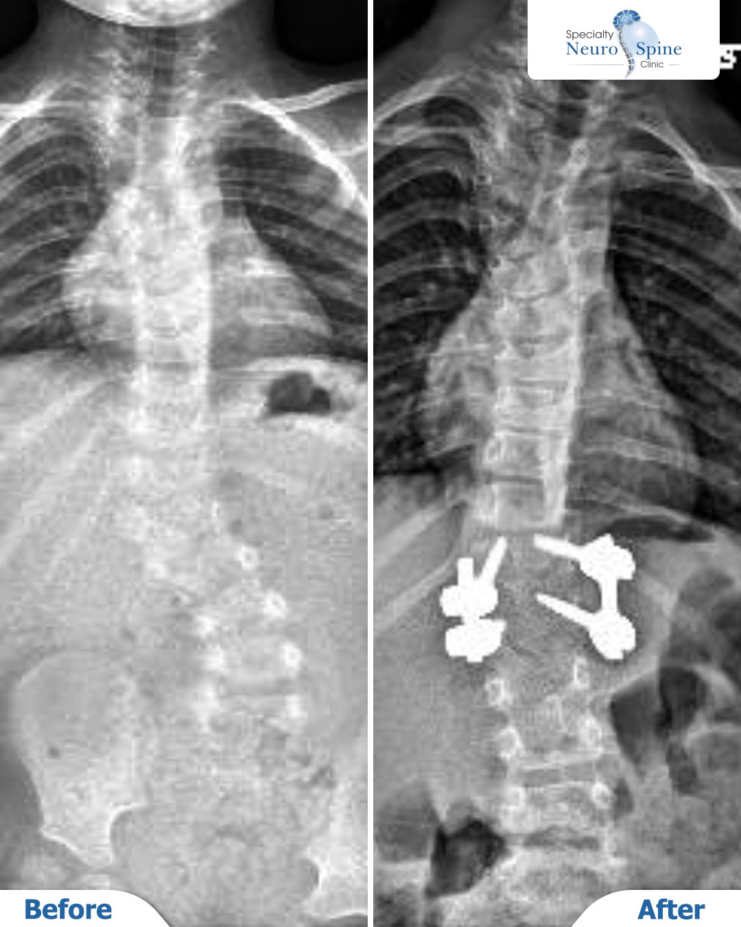
X-ray images showing the condition of our brave patient Sally before and after her spinal deformity correction surgery, which was performed when she was just 3 years old.
The procedure involved correcting the curvature from the twelfth thoracic vertebra (T12) to the first lumbar vertebra (L1). Two years later, the results confirm the success of the surgery, with excellent vertebral alignment and stability.
All our procedures are performed using minimally invasive and endoscopic surgical techniques.


